Acasă·Cazuri

Cazuri reale, rezultate vizibile.

Fiecare caz documentat — procedură, durată, materiale folosite, rezultat final. Trage de handle pe imagini pentru a vedea transformarea.

Portofoliu · 5 cazuri

Selecție din portofoliul nostru.

Fiecare caz a fost realizat de echipa noastră, cu plan scris înainte de tratament și materiale cu garanție producător. Pacienții au consimțit la publicarea fotografiilor.

  1. 01 / 05

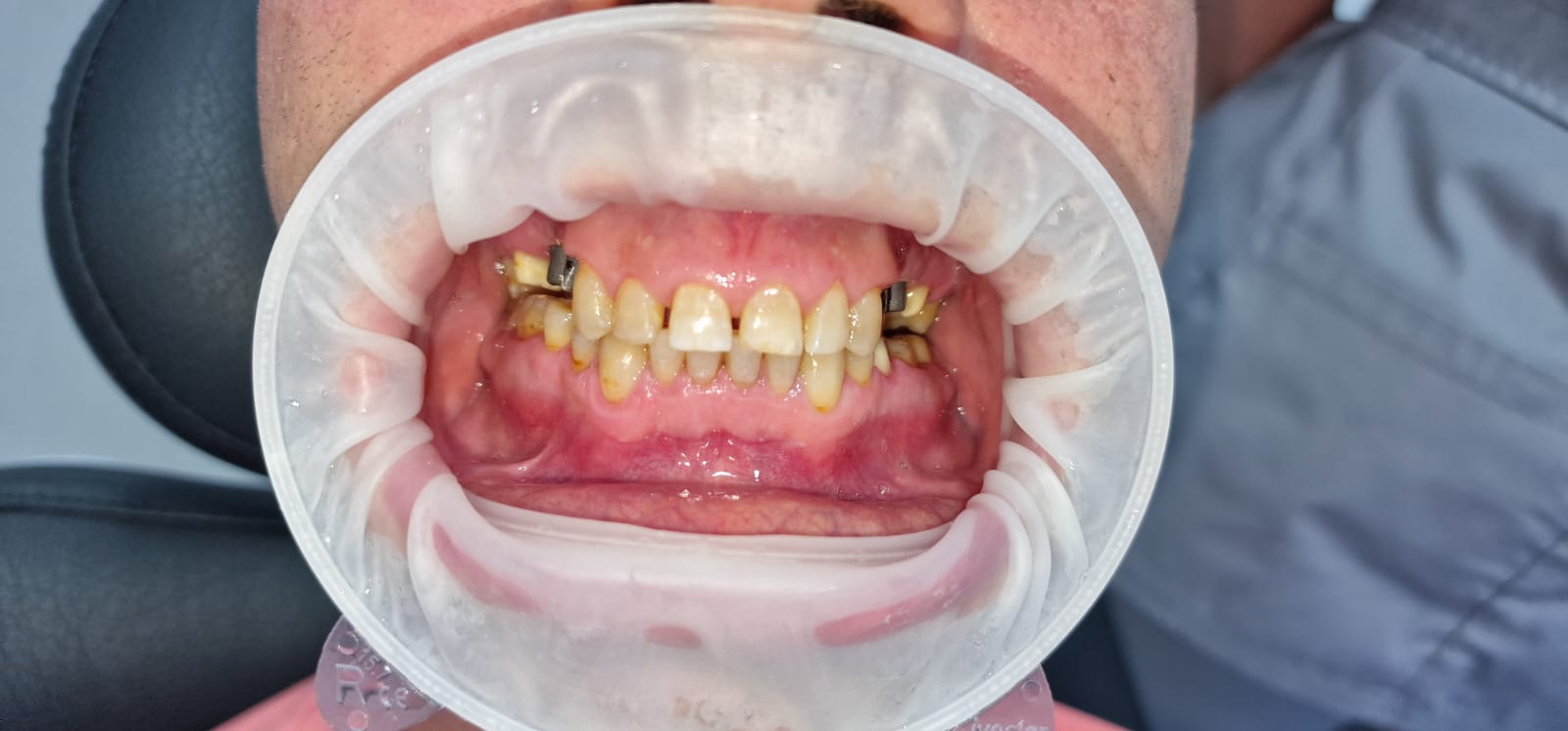
    Implant unitar cu coroană zirconiu — înainte de tratament la Clinica Dr. Corlade Bacău Înainte
    Implant unitar cu coroană zirconiu — după tratament la Clinica Dr. Corlade Bacău După

    Implantologie

    Implant unitar cu coroană zirconiu

    Pacientul a venit cu un dinte fracturat în zona frontală. După extracție și adiție osoasă, am inserat un implant Straumann și o coroană din zirconiu cu estetică naturală.

    Durată
    4 luni
    Implant
    Straumann
    Material
    Zirconiu

    Vreau și eu un caz similar

  2. 02 / 05

    Albire profesională în cabinet — înainte de tratament la Clinica Dr. Corlade Bacău Înainte
    Albire profesională în cabinet — după tratament la Clinica Dr. Corlade Bacău După

    Estetică dentară

    Albire profesională în cabinet

    Albire profesională realizată într-o singură ședință de 60 de minute, cu sistem de protecție a smalțului. Rezultatul: dinții cu 6 nuanțe mai deschiși.

    Durată
    1 ședință
    Rezultat
    +6 nuanțe
    Sistem
    Profesional

    Vreau și eu un caz similar

  3. 03 / 05

    Fațete ceramice E-max — înainte de tratament la Clinica Dr. Corlade Bacău Înainte
    Fațete ceramice E-max — după tratament la Clinica Dr. Corlade Bacău După

    Protetică

    Fațete ceramice E-max

    8 fațete ceramice E-max pe arcada superioară pentru corectarea formei și culorii dinților frontali. Tratament minim invaziv, păstrăm cât mai mult din dintele natural.

    Durată
    3 săptămâni
    Fațete
    8
    Material
    E-max

    Vreau și eu un caz similar

  4. 04 / 05

    Aliniere cu aligneri transparenți — înainte de tratament la Clinica Dr. Corlade Bacău Înainte
    Aliniere cu aligneri transparenți — după tratament la Clinica Dr. Corlade Bacău După

    Ortodonție

    Aliniere cu aligneri transparenți

    Aliniere completă a arcadei superioare și inferioare cu aligneri transparenți Invisalign. Tratament discret pentru pacient adult, vizibil rezultat în 10 luni.

    Durată
    10 luni
    Gutiere
    24
    Tip
    Invisalign

    Vreau și eu un caz similar

  5. 05 / 05

    Sistem All-on-4 complet — înainte de tratament la Clinica Dr. Corlade Bacău Înainte
    Sistem All-on-4 complet — după tratament la Clinica Dr. Corlade Bacău După

    Implantologie

    Sistem All-on-4 complet

    Reabilitare totală cu sistem All-on-4: 4 implanturi care susțin o punte fixă pentru întreaga arcadă. Soluție definitivă pentru pacienți edentați total.

    Durată
    6 luni
    Implanturi
    4
    Lucrare
    Punte fixă

    Vreau și eu un caz similar

Programare rapidă

Vrei să discuți despre cazul tău?

Sună-ne sau lasă-ne datele și te programăm la o consultație inițială. Discutăm opțiunile, vezi exemple similare, primești plan scris.

Răspuns în max. 24h · fără spam